See our stunning dental transformations
At 818 Dental in Armadale, we take pride in the beautiful transformations we help our patients achieve. Our before-and-after gallery showcases real results from a range of dental treatments, including cosmetic enhancements and restorative work.
Whether you’re considering teeth whitening, veneers, or a full smile makeover, these photos highlight the quality of care and expertise you can expect from our team.
Explore the possibilities and see how we can help you achieve your dream smile.
Dental Crowns
Used to help restore both the strength and appearance of damaged teeth with custom-fitted dental crowns that blend seamlessly with your natural smile.


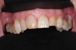
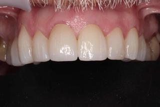
This patient was self-conscious about how her upper teeth looked. We used ceramic crowns to rejuvenate her smile.


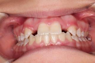
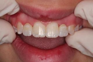
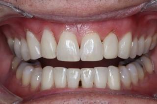
This patient's partner sent him to us to improve his smile. Whilst happy to oblige his partner's wishes, this patient also wanted to keep within budget. We rebuilt his front six upper teeth using direct resin veneers with deliberate colour variation to blend with his un-restored lower teeth.


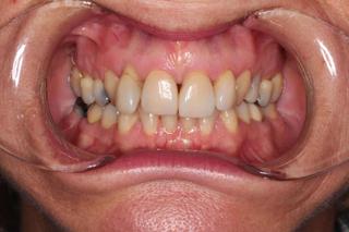
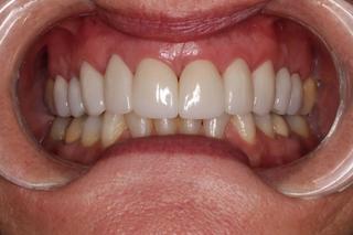
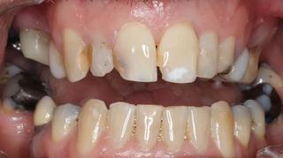
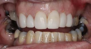
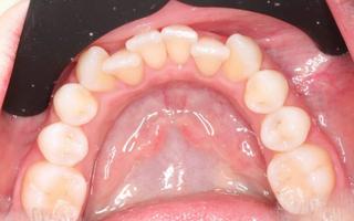
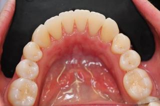
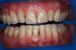
This patient wanted to address her discoloured old veneers and was concerned about her upper teeth crowding. Her treatment was completed in 2 stages. We used Clear Aligners initially, to straighten her upper teeth (12 weeks) and then we placed 10 upper crowns which replaced her aged veneers and reinforced her worn and weakened back teeth.


This patient wanted to repair his chipped and worn teeth. We used Zirconium Crowns to restore his smile.
Veneers
Used to transform chipped, discoloured, or misaligned teeth into a flawless smile with our expertly crafted dental veneers.


This patient's partner sent him to us to improve his smile. Whilst happy to oblige his partner's wishes, this patient also wanted to keep within budget. We rebuilt his front six upper teeth using direct resin veneers with deliberate colour variation to blend with his un-restored lower teeth.
Clear Aligners
Used to achieve straighter teeth without braces; clear aligners (e.g. Invisalign) offer a discreet and comfortable way to align your smile.


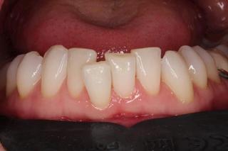
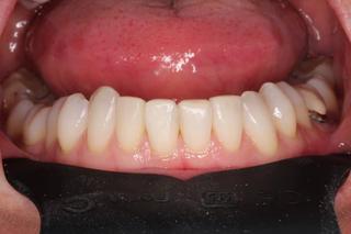
This patient wanted to straighten her lower teeth-a very common request in adults. This was completed in 6 weeks with Clear Aligners (and no braces).


This patient wanted her lower teeth straightened but didn't want to wear braces. We used clear aligners to achieve this in less than 12 weeks.
Teeth Whitening
Used to brighten your smile and is designed to remove stubborn stains and enhance your smile's appeal.


This patient didn't like the way his teeth looked anymore. We whitened them using our Zoom in-chair whitening process and then bonded composite resin where needed to protect and strengthen his teeth.
Dental Hygiene
Keep your smile healthy and sparkling with a professional dental clean, designed to remove plaque and promote overall oral health.


This patient drinks tea and coffee and this leaves staining on his teeth which our hygienists expertly remove 6 monthly.


This patient naturally builds a high level of calculus on his teeth and visits one of our hygienists every 4 months to minimise any damage to the gums and underlying periodontium.
Discover how our expert team delivers beautiful, lasting smiles
Call us on (03) 9509 1883 or book online with our expert dental team today.



